Technical Note
Live-imaging with quantitative analysis of cellular flows to visualize left-right asymmetry during early chick embryo development
Large-scale cellular flows during gastrulation represent an evolutionarily conserved phenomenon across the animal kingdom.
Focus
Photosymbiosis in green algae: Diversity and its impacts on host and symbiont fitness
See Yamagishi, D. and Maruyama, S. (2025) Cytologia 90, 147-151.
Current Articles
-
Regular Article

In vitro propagation of rare endemic Tripleurospermum hygrophilum (Asteraceae): Assessment of genetic stability by chromosome number and genome size
-
Regular Article

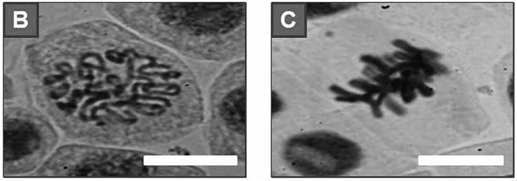
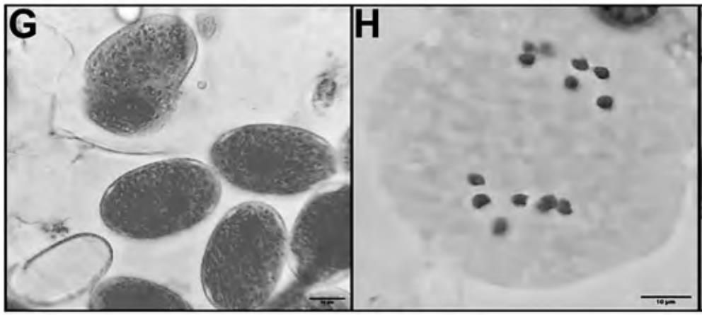
Cytogenetic characterization in Hoplias brasiliensis (Characiformes, Erythrinidae) from an isolated river basin in northeastern South America
See dos Santos Gonçalves Ferreira, L. et al. Cytologia 90, 159-164.
-
Regular Article

Identifying a major gene on Chromosome 2 that controls the XY pairing in Drosophila ananassae Doleschall, 1858
-
Regular Article

Antimitotic and cytotoxic effects of Clerodendrum indicum leaf aqueous extract in Allium cepa root tip cells
-
Regular Article

Meiotic behavior and its impact on sexual reproductive output in Gloriosa superba L. from Siwalik sub-Himalayan range of J&K, India
-
Regular Article

Mutation in OPR3 ortholog affects stamen function but not petal size in Torenia fournieri
-
Karyotype Report

Karyotype analysis and chromosome evolution of Schisandraceae on the Korean Peninsula
Cytologia News
-
Celebration
Jun. 14, 2025
Congratulations to Dr. Tomonari Hirano (Associate Professor, University of Miyazaki, Japan) and Dr. Takayuki Fujiwara (Assistant Professor, National Institute of Genetics, Japan) for receiving the CYTOLOGIA Encouragement Award.
Dr. Hirano received the award for his work on the effects of heavy-ion beam irradiation on the plant genomes.
See Shii, M. et al. (2024) 89: 133-139,
Hirano, T. et al. (2022) 87: 3-6,
and Hirano, T. et al. (2021) 86: 311-315.
-
Dr. Fujiwara received the award for his work on methodological developments of the cyanidialean red alga, Cyanidioschyzon merolae.
See Kuroiwa, T. et al. (2021) Cytologia 86: 89-96,
Kuroiwa, T. et al.(2020) Cytologia 85: 107-113,
Miyagishima, S.-Y. and Fujiwara, T. (2020) Cytologia 85: 91-92,
Yagisawa, F. et al. (2016) Cytologia 81: 341-347,
Fujiwara, T. et al. (2010) Cytologia 75: 189-194,
and Fujiwara, T. et al. (2009) Cytologia 74: 1-2.
-
Celebration
Jun. 15, 2024
Congratulations to Dr. Yoichi Sato (Director, Riken Food Co., Ltd., Japan) and Dr. Nobuko Sumiya (Associate Professor, Niigata University, Japan) for receiving the CYTOLOGIA Encouragement Award.
Dr. Sato received the award for his work on sporeling production and cultivation of marcoalgae.
See Sato, Y. et al. (2021) 86: 291–295,
Sato, Y. et al. (2023) 88: 1–2,
and Kinoshita, Y. et al. (2022) 87: 17–22.
-
Dr. Sumiya received the award for her work on cell and chloroplast division in unicellular algae.
See Sumiya, N. et al.(2012) Cytologia 77: 59-66,
Mori, S. et al. (2022) Cytologia 87: 203-208,
and Kuroiwa, T. et al. (2012) Cytologia 77: 289-299.
-
Celebration
Sep. 5, 2023
Congratulations to Dr. Takuya Sakamoto (Associate Professor, Kanagawa University, Japan) for receiving the CYTOLOGIA Encouragement Award.
Dr. Sakamoto received the award for his studies on chromatin dynamics and cell nuclear structure.
See Ito, N. et al. (2021) Cytologia 86: 183-187
and Fujiwara, Y. et al. (2021) Cytologia 86: 3-9.
-
Announcement
July 22, 2023
Instruction for authors has been substantially revised, so please be sure to check it before submitting your manuscript. Short Communication and Karyotype Report have been added as new publication ttypes. The publication fee has also been revised.
-
Celebration
May 9, 2022
Congratulations to Dr. Wakana Tanaka (Assistant Professor, Hiroshima University, Japan) and Dr. Mio Shibuta (Assistant Professor, Yamagata University) for receiving the CYTOLOGIA Encouragement Award.
Dr. Tanaka received the award for her developmental genetic studies on rice stem cells and morphogenesis.
See Hirano, H.-Y. and Tanaka, W. (2020) Cytologia 85: 3-8
and Tanaka, W. et al. (2019) Cytologia 84: 343-346.
-
Dr. Shibuta received the award for her studies on epigenetic regulatory mechanisms and cytological imaging.
See Shibuta, M. K. et al. (2019) Cytologia 84: 107-111
and Shibuta, M. K. and Matsunaga, S. (2019) Cytologia 84: 3-8.
-
Celebration
April 11, 2022
Congratulations to Dr. Tomoko Abe (Deputy Director, Nishina Center, RIKEN) for Receiving the 2021 Wada Memorial Prize entitled “Development of Breeding Methods Using Heavy Ion Beams and Research on Molecular Mechanisms of Chromosomal Rearrangement Mutations”.The linear energy transfer (LET) of heavy ion beams can be controlled by selecting the type and speed of ions. Using this technology, Dr. Abe discovered the LETmax at which the mutation rate is maximized, and found that the larger the LET, the larger the deletion size of DNA and the higher the rate of chromosome rearrangement mutations, and her achievements in perfecting the heavy ion beam breeding method are highly appreciated not only in Japan but also worldwide. She has also developed a mutation detection pipeline for whole genome resequencing and exome analysis, which has made it possible to detect mutations at the whole genome level and to rapidly identify the causative genes of mutants.
See Ishii S. (2021) Cytologia 86, 273-274.
-
Careers
April 8, 2022
The position of Project Assistant Professor is available in the Laboratory of Integrated Biology Department of Integrated Biosciences, Graduate School of Frontier Sciences, The University of Tokyo, Japan.
See the web page for more information. -
Meet the author
Mar. 20, 2022
Prof. Masanori Hiraoka (Kochi University)
See Kinoshita, Y. et. al. (2022) Cytologia 87, 17-22.


